Aktualitäten 2020
« ZURÜCK
Neues Ribozym aus dem Labor
Experiment bildet Elektronentransfer im Molekül ab
Neues Standardwerkzeug für die Mikrobiologie
Auflösungsweltrekord in der Kryo-Elektronenmikroskopie
Ersatz für Tierversuche
Meilenstein in der Quantenphysik: Mainzer Physikern gelingt der kontrollierte Transport von gespeichertem Licht
Das neue schwere Isotop Mendelevium-244 und eine rätselhafte kurzlebige Spaltaktivität
Düfte als Orientierungshilfe für Tauben
Molekularer Schwarm baut Oberflächenstrukturen Atom für Atom um: Aktuelle Studie
Neue Methode erlaubt exakte Genkontrolle durch Licht
Gefangenes Wasser auf Sternenstaub
Ein Drehkreuz für Photonen
Chemische Speicher von Sonnenenergie
Mit Bor und Bier Stickstoff reduziert
Antwort im Mikrotröpfchen
Das Netz des Todes
Mehr als nur genetischer Code
Luftverschmutzung macht Blütenduft für Falter unattraktiv
Chemie
Ergebnisse 21 - 40 von 101.
Biowissenschaften - Chemie - 28.10.2020

Der Evolution auf der Spur: Ein katalytisch aktives RNA-Molekül, das eine RNA gezielt mit einer Methylgruppe markiert über diese Entdeckung berichtet eine Würzburger Forschungsgruppe in ,,Nature". Enzyme ermöglichen biochemische Reaktionen, die von alleine nicht oder nur schwer ablaufen würden. In der Natur sind es meistens Proteine, die als Enzyme funktionieren.
Chemie - 28.10.2020

Die Chemiker bauen Forschungsinfrastruktur mit Hilfe des Landes Thüringen aus Light Licht kann chemische Reaktionen auslösen. Dieses Phänomen ist in der Natur - beispielsweise während der Photosynthese der Pflanzen - allgegenwärtig. Künstlich ausgelöst und technologisch genutzt, bietet es großes Potenzial für Anwendungen im Bereich erneuerbarer Energien.
Biowissenschaften - Chemie - 23.10.2020
Wie ,,Proteinfabriken" reifen
Ribosomen sind kleine ,,Fabriken", in denen Proteine nach den Bauplänen des Erbguts zusammengesetzt werden. Die Reifung der Ribosomen, von denen sich bis zu einer Million in jeder menschlichen Zelle befinden, ist ein komplizierter und vielschichtiger Vorgang.
Biowissenschaften - Chemie - 23.10.2020

Land Thüringen fördert neues System zur Raman-Spektroskopie an der Universität Jena Zu erfahren, was passiert, wenn Mikroorganismen untereinander oder mit höher entwickelten Lebewesen interagieren, kann für Menschen sehr wertvoll sein. Bakterien beispielsweise produzieren bei solchen Prozessen häufig Substanzen, die möglicherweise die Grundlage für neue Arzneiwirkstoffe oder Antibiotika liefern.
Chemie - Umwelt - 22.10.2020
Klimaschutz aus dem Reagenzglas
Erkenntnisse, wie ein Katalysator Methan in Ethen umwandelt, könnten helfen, das Abfackeln von Erdgas zu vermeiden Es wäre ein dreifacher Gewinn - fürs Klima, für die Rohstoffressourcen und für die chemische Industrie: Mit ihrer Arbeit wollen Wissenschaftlerinnen und Wissenschaftler des Fritz-Haber-Instituts der Max-Planck-Gesellschaft in Berlin die Basis schaffen, um aus dem Methan, das bei der Erdölförderung bislang abgefackelt wird, nützliche chemische Produkte wie etwa Kunststoffe zu gewinnen.
Chemie - Pharmakologie - 21.10.2020

Neue Technik von Göttinger Max-Planck-Forschern macht erstmals mit Kryo-Elektronenmikroskopie einzelne Atome in einem Protein sichtbar Holger Stark vom Max-Planck-Institut für biophysikalische Chemie hat mit seinem Team eine entscheidende Auflösungsgrenze in der Kryo-Elektronenmikroskopie geknackt. Seiner Gruppe gelang es zum ersten Mal, einzelne Atome in einer Proteinstruktur zu beobachten und die bisher schärfsten Bilder mit dieser Methode aufzunehmen.
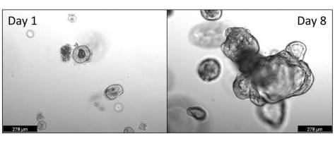
Chemie - Gesundheit - 14.10.2020

Wissenschaftlerinnen und Wissenschaftler der TUM haben humane Organoide aus Dünndarmgewebe gezüchtet. Innerhalb von wenigen Tagen entwickeln sich Organoide aus kleinen, runden Strukturen zu größeren, komplexen Zellverbänden, die viele Aspekte der Darmphysiologie widerspiegeln. Neue Anwendungen für Organoide aus menschlichem Darmgewebe Wissenschaftlerinnen und Wissenschaftler der Technischen Universität München (TUM) haben aus menschlichem Darmgewebe, das routinemäßig bei Operationen anfällt, so genannte Darmorganoide gezüchtet.
Physik - Chemie - 13.10.2020

Patrick Windpassinger und sein Team demonstrieren, wie sich in einer Wolke aus ultrakalten Atomen gespeichertes Licht über ein "optisches Förderband" transportieren lässt Physikern um Patrick Windpassinger von der Johannes Gutenberg-Universität Mainz (JGU) ist es gelungen, Licht in einem Quantenspeicher über eine Strecke von 1,2 Millimeter kontrolliert zu transportieren, wobei der Transportprozess und seine Dynamik erfreulich geringe Auswirkungen auf die Eigenschaften des gespeicherten Lichts hatten.
Physik - Chemie - 09.10.2020

Mendelevium-244 wurde 2018 erstmals hergestellt / Experimente weisen auf ungewöhnliche kurzlebige Spaltaktivität hin Die limitierenden Faktoren für die Existenz stabiler, superschwerer Elemente immer besser zu verstehen, ist seit Jahrzehnten ein Anliegen der Chemie und der Physik. Superschwere Elemente, wie die chemischen Elemente mit Ordnungszahlen größer als 103 genannt werden, kommen in der Natur nicht vor und werden künstlich mithilfe von Teilchenbeschleunigern hergestellt.
Chemie - Umwelt - 07.10.2020

Wissenschaftler entschlüsseln flüchtige organische Verbindungen, die von Brieftauben zur Navigation verwendet werden können Einige Vogelarten nutzen Gerüche zur Orientierung. Über die chemische Zusammensetzung dieser Gerüche war bisher jedoch wenig bekannt. Ein internationales Team von Wissenschaftlern hat nun über der Toskana organische Verbindungen identifiziert, die dort regional unterschiedlich auftreten.
Chemie - Physik - 07.10.2020

Éhnlich eines Reißverschlusses führen Carben-Moleküle durch kooperative Zusammenarbeit zwei Atomreihen der Goldoberfläche zu einer Reihe zusammen, so dass eine neue Oberflächenstruktur schrittweise erhalten wird. In vielen technologisch-relevanten Bereichen, wie zum Beispiel der Katalyse, der Sensorik sowie der Batterieforschung, spielt die Oberfläche von Metallen eine entscheidende Rolle.
Biowissenschaften - Chemie - 25.09.2020

Ein neuartiger optischer Schalter erlaubt es, die Lebenszeit genetischer ,,Abschriften" exakt zu kontrollieren. Diese dienen der Zelle als Bauanleitung für die Herstellung von Proteinen. Die Methode wurde von Wissenschaftlern der Universitäten Bonn und Bayreuth entwickelt. Sie könnte die Untersuchung dynamischer Prozesse in lebenden Zellen deutlich vorantreiben.
Astronomie & Weltraum - Chemie - 22.09.2020

Astrophysiker beweisen, dass Staubpartikel im All mit Eis vermischt sind Light Die Materie zwischen Sternen einer Galaxie - das sogenannte interstellare Medium - besteht neben Gas vor allem aus jeder Menge Staub. Sterne und Planeten haben ihren Anfang irgendwann einmal in einer solchen Umgebung genommen.
Physik - Chemie - 21.09.2020

Physikern aus Deutschland, Dänemark und Österreich ist es gelungen, für Licht in Glasfasern eine Art Drehkreuz zu realisieren, das die Lichtteilchen nur einzeln passieren lässt Glasfasern, durch die Laserlicht geleitet wird, sind heute das Rückgrat unserer modernen Informationsgesellschaft. Stellt man sich dabei das Laserlicht als Strom von Lichtteilchen vor, sogenannten Photonen, so sind diese völlig unabhängig voneinander und ihre genaue Ankunftszeit ist dem Zufall überlassen.
Chemie - Materialwissenschaft - 16.09.2020

Forschungsteam von Leibniz-IPHT und Universität Jena stellt neuartigen Ansatz vor Light Die Energie aus der Sonne so effizient zu nutzen und in chemische Energie umzuwandeln wie es die Natur macht, könnte den weltweiten CO2-Ausstoß drastisch verringern. Ein Forschungsteam des Leibniz-Instituts für Photonische Technologien (Leibniz-IPHT) und der Friedrich-Schiller-Universität Jena ist dieser Vision nun einen Schritt näher gekommen.
Chemie - Physik - 14.09.2020

Die industrielle Umwandlung von Stickstoff in Ammonium liefert Dünger für die Landwirtschaft. Würzburger Chemiker haben diese Umwandlung nun bei Raumtemperatur, niedrigem Druck und mit leichten Elementen erreicht. Die Menschheit ist auf das Ammonium in synthetischem Dünger angewiesen, um ihre Ernährung zu sichern.
Chemie - 11.09.2020

Forscher imitieren Signalprozesse an DNA-Bausteinen in Protozellen Nur dank komplexer Signalprozesse kann der menschliche Körper auf seine Umwelt reagieren: Trifft ein Reiz auf eine Zelle, wandelt sie ihn in ein Signal um, das mithilfe von chemischen Reaktionsnetzwerken in das Zellinnere weitergeleitet wird und dort eine Reaktion hervorruft.
Gesundheit - Chemie - 10.09.2020

Ein neuer Ansatz bei der Bekämpfung von Krebs setzt darauf, Tumorzellen mit molekularen Netzen in die Selbstzerstörung zu treiben Im Kampf gegen Krebs eröffnet sich jetzt ein völlig neuer Weg. Wissenschaftlerinnen und Wissenschaftler um David Ng, Gruppenleiter am Max-Planck-Institut für Polymerforschung, versuchen durch einen gezielten Angriff auf die Struktur der Krebszellen deren Selbstzerstörungsmechanismus zu aktivieren.
Biowissenschaften - Chemie - 07.09.2020

Forschende finden heraus, wie Boten-RNAs Informationen zum Ort der Photosynthese transportieren Bei der Photosynthese wird Sonnenenergie in chemische Energie umgewandelt, die dann in der Natur genutzt wird, um aus Kohlendioxid organische Moleküle herzustellen. Die Schlüsselreaktionen der Photosynthese laufen bei Pflanzen, Algen und Cyanobakterien in zwei komplexen Strukturen, den so genannten Photosystemen, ab.
Umwelt - Chemie - 04.09.2020

Tabakschwärmer finden Blütenduft bei hohen Ozonwerten wenig anziehend, können aber lernen, dass auch Blüten mit durch Ozon verändertem Duft Nektar als Belohnung bieten. Ein Team von Forschenden des Max-Planck-Instituts für chemische Ökologie und der Universität Virginia, USA, ist der Frage nachgegangen, wie sich Luftverschmutzung und hohe Ozonwerte auf die chemische Kommunikation zwischen Blüten und Bestäubern auswirken.