wire - kurze nachrichten
Max-Planck-Gesellschaft
Ergebnisse 51 - 100 von 978.
Umwelt - Elektrotechnik - 29.04.2025

Ein energiesparendes Verfahrenes ermöglicht es, Nickel für Batterien, Magnete und Edelstahl CO2-frei zu gewinnen Auf den Punkt gebracht Global rasant wachsende Nickelnachfrage: Der Bedarf an Nickel wird sich bis 2040 voraussichtlich verdoppeln.
Biowissenschaften - 24.04.2025

Wenn es um die Partnersuche geht, setzen Mäuse auf zwei Strategien: Einige verteidigen entschlossen ihr Revier und die Weibchen darin, andere streifen auf der Suche nach einem schnellen Flirt umher A
Sozialwissenschaften - Biowissenschaften - 24.04.2025

Weibliche Tiere verbünden sich miteinander, um in ihren Gruppen an der Macht zu bleiben Auf den Punkt gebracht Strategie für weibliche Dominanz: Weibliche Bonobos verbünden sich, um gegen sie gerichtete männliche Aggressionen unterdrücken - dies ist der erste Beweis dafür, dass Tiere eine derartige Strategie anwenden.
Gesundheit - Recht - 17.04.2025

Biowissenschaften - 16.04.2025
Bonobos reagieren negativ auf Ungleichbehandlung
Wenn sie eine schlechtere Belohnung erhalten als ein Partner, verweigern Bonobos öfter die Teilnahme Auf den Punkt gebracht Bonobos zeigen eine Abneigung gegen Ungleichheit: In zwei Experimenten waren Bonobos weniger bereit mitzumachen, wenn sie eine schlechtere Belohnung bekamen als ihr Partner.
Politik - Medien - 10.04.2025

Fünf Fragen an Philipp Lorenz-Spreen vom Max-Planck-Institut für Bildungsforschung zur politischen Meinungsbildung in den sozialen Medien Demokratien befinden sich weltweit in der Krise.
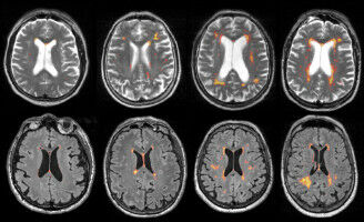
Gesundheit - Biowissenschaften - 10.04.2025

Bluthochdruck ist der stärkste Risikofaktor für Veränderungen am Gefäßsystem des Gehirns Auf den Punkt gebracht Winzige Gehirnverletzungen: Unbemerkte Läsionen im Gehirn sind eine häufige Ursache für Demenzen und können im MRT nachgewiesen werden.
Mathematik - Physik - 06.04.2025

Psychologie - 03.04.2025

Nicht die mutigsten, sondern die schüchternsten Mäuse haben sich in einer Studie als die ausdauerndsten Tüftler erwiesen Auf den Punkt gebracht Höhere Erfolgsaussichten: Schüchterne Mäuse beschäftigten sich häuï¬ger mit Problemlösungsaufgaben als ihre mutigen Artgenossen Einfluss der Testumgebung: Mäuse verhalten sich in naturnahen Umgebungen anders als im Labor - und das nicht immer vorhersehbar.
Wirtschaft - Sozialwissenschaften - 03.04.2025

Studie zeigt: Die Folgen niedriger Geburtenraten können durch Investitionen in Bildung ausgeglichen werden Auf den Punkt Bildungsinvestitionen entlasten Rentensystem: Studie des Max-Planck-Instituts
Forensische Wissenschaft - Sozialwissenschaften - 03.04.2025
Polizeidienst: Ungleiche Chancen auf Zugang
Eine Studie zeigt: Menschen mit Migrationshintergrund haben es bei der Bewerbung oft schwerer Auf den Punkt: Eine Forschungsarbeit untersucht die Erfolgsquoten und Testergebnisse von Bewerbenden mit und ohne Migrationshintergrund.
Umwelt - Geowissenschaften - 28.02.2025

Durch eine Abschwächung der Nordatlantischen Umwälzzirkulation nimmt der Ozean weniger Kohlendioxid auf - es entstehen Folgekosten und das Klima erhitzt sich weiter Der Ozean ist der größte CO2-Speicher der Erde.
Astronomie & Weltraum - Physik - 28.02.2025

Wenige Monate nach Inbetriebnahme hat die Raumsonde einen der heftigsten Strahlungsausbrüche auf der Sonne beobachtet - vom Ursprung bis zur vollen Entfesselung Als die Sonne am 22. Februar 20
Biowissenschaften - Pharmakologie - 25.02.2025

Auch im visuellen Kortex von Mäusen schließen sich Nervenzellen mit gleicher Funktion in Säulen zusammen Seit über 50 Jahren ist bekannt, dass in der Großhirnrinde vieler Säugetiere funktionsgleiche Nervenzellen in Säulen gebündelt sind. Nun konnten Forscher des Max-Planck-Instituts für biologische Intelligenz diese Strukturen erstmals in der Sehrinde von Mäusen nachweisen: Dort bilden Nervenzellen, die Reize desselben Auges verarbeiten, Cluster.
Sozialwissenschaften - 21.02.2025

Umwelt - 19.02.2025

Wildlebende Fische können individuelle Taucher anhand äußerer Merkmale unterscheiden Jahrelang hatten Forschungstaucher an einer Forschungsstation im Mittelmeer ein Problem: Mit der Zeit folgten ihnen Seebrassen und andere Fische und stahlen Futter, das als Versuchsbelohnung gedacht war. Erstaunlicherweise schienen diese Fische die Taucher, von welchen sie zuvor Futter erhalten haben, von anderen Tauchern unterscheiden zu können.
Sozialwissenschaften - 18.02.2025

Kooperation oder Antagonismus zwischen Gruppen können durch wirtschaftliche Bedürfnisse und frühere Handlungen beeinflusst werden Forschende des Max-Planck-Instituts für evolutionäre Anthropologie in Leipzig haben den Einfluss von Gruppenidentität und wirtschaftlicher Bedürftigkeit auf Kooperation und Konflikt in zwei kolumbianischen Gemeinden untersucht.
Informatik - Wirtschaft - 31.01.2025
AI Act: Was er regelt und wen er betrifft
Materialwissenschaft - 24.01.2025
Flower Power: Lavendelöl macht Natrium-Schwefel-Batterien langlebiger
Nanokäfige aus Linalool und Schwefel erhöhen die Lebensdauer und Speicherkapazität von Natrium-Schwefel-Akkus Lavendelöl könnte helfen, ein Problem der Energiewende zu lösen.
Informatik - Sozialwissenschaften - 21.01.2025
Künstliche Intelligenz - Chancen ergreifen, Risiken minimieren
Biowissenschaften - Gesundheit - 21.01.2025

Recht - Politik - 16.01.2025

Biowissenschaften - Umwelt - 16.01.2025

3D-gedruckte Schneckenhäuser liefern Einblicke in die Brutpflege von Buntbarschen Schneckenbuntbarsche kümmern sich intensiv um ihren Nachwuchs, den sie in verlassenen Schneckenhäusern großziehen.
Astronomie & Weltraum - Geowissenschaften - 18.12.2024

Die Kruste des Mondes hat den Mond bislang jünger aussehen lassen als er ist. Denn sie erstarrte wegen heftigem Vulkanismus wohl erst 80 bis 160 Millionen Jahre nachdem der Mond entstanden ist Nach seiner Entstehung dürfte der Mond Schauplatz so ungeheurer vulkanischer Aktivität gewesen sein, dass seine gesamte Kruste mehrfach aufschmolz und sich komplett umwälzte.
Umwelt - Geowissenschaften - 17.12.2024

Wie der arktische Permafrost auf die globale Erwärmung reagieren wird, zeigen globale Klimamodelle Die Arktis heizt sich im Zuge der globalen Erwärmung besonders schnell auf - mit gravierenden Folgen.
Astronomie & Weltraum - Umwelt - 13.12.2024

Die Sonne sollte zu Ausbrüchen fähig sein, die den bisher stärksten registrierten Flare um das hundertfache übertreffen.
Materialwissenschaft - Karriere - 11.12.2024
Leibniz-Preis 2025 für Bettina Lotsch
Gesundheit - Biowissenschaften - 06.12.2024

Forschende aus den USA und Deutschland haben ein Peptid entdeckt, das Gerste in der wichtigsten Anbauregion der USA anfälliger der die Blattfleckenkrankheit macht.
Biowissenschaften - Innovation - 27.11.2024

Sozialwissenschaften - Forensische Wissenschaft - 22.11.2024
Häusliche Gewalt hat in der Pandemie zugenommen
Häusliche Gewalt, vor allem gegen Frauen und Kinder, ist ein großes Problem in unserer Gesellschaft.
Umwelt - 21.11.2024

Deutsches Klima-Konsortium gibt Empfehlungen angesichts des absehbaren Verfehlens des 1,5-Grad-Ziels Das 1,5-Grad-Ziel ist zwar nicht mehr einzuhalten, eine Begrenzung der Erderwärmung auf unter 2 Grad Celsius sollte aber weiter angestrebt werden.
Umwelt - Geowissenschaften - 13.11.2024
Die fossilen CO2-Emissionen nehmen weltweit weiter zu
Der Wendepunkt beim globalen Ausstoß des Treibausgases ist noch nicht erreicht, obwohl ein schneller und starker Rückgang nötig ist Trotz der Fortschritte bei sauberen und erneuerbaren Energien trei
Sozialwissenschaften - Psychologie - 08.11.2024

Megastudie untersucht, wie die richtige Formulierung zu mehr Ehrlichkeit führen kann Waren Sie schon einmal in Ihrer Steuerklärung unehrlich, um weniger Steuern zahlen zu müssen' Hätte Sie ein schriftlicher -Ehrlichkeitseid-, den Sie unterschreiben müssen, vielleicht davon abgehalten' Ja, das ist sehr wahrscheinlich, sagt eine Gruppe von mehr als 40 internationalen Wissenschaftlerinnen und Wissenschaftler, die dieses Phänomen in einer Mega-Studie mit über 21.
Geschichte & Archeologie - Biowissenschaften - 07.11.2024

Forschende der Universität Florenz, der Harvard University und des Max-Planck-Instituts für evolutionäre Anthropologie in Leipzig haben durch die Analyse alter DNA bisher gängige Annahmen über die Bewohner Pompejis in Frage gestellt. Im Gegensatz zum äußeren Erscheinungsbild lieferte die DNA unerwartete neue Informationen über Geschlecht und Verwandtschaftsverhältnisse und widerlegt eine seit 1748 erzählte Geschichte.
Politik - Sozialwissenschaften - 07.11.2024

Wissenschaftlich fundiertes Maßnahmenpaket soll dabei helfen, Falschinformationen zu erkennen und zu widerlegen Wie können wir uns vor Misinformationen im Internet schützen' Forschende haben dafür ein wissenschaftlich fundiertes Maßnahmenpaket entwickelt. Es enthält unter anderem Warnhinweise, Faktenchecks und Techniken zur Verbesserung der Medienkompetenz und soll dabei helfen, Misinformation auf individueller Ebene zu erkennen und zu bekämpfen.
Umwelt - 28.10.2024

Kleine Fledermäuse nutzen für den Heimflug Umweltmerkmale mit ausgeprägten akustischen Hinweisen als Orientierungspunkte Echoortende Fledermäuse verfügen über eine akustische kognitive Karte ihres Heimatgebiets. Die Karte ermöglicht es ihnen, allein mit Hilfe der Echoortung über kilometerweite Entfernungen zu navigieren.
Gesundheit - Biowissenschaften - 16.10.2024

Wodurch und wann entsteht Krebs? Warum gibt es gutartige oder bösartige Tumore und was macht sie bösartig? Gemeinsam mit meinen Forschungsgruppen ist es mir gelungen, eine neue Art der Diagnose zu entwickeln, mit der sich Antworten auf diese Fragen finden lassen.
Mikrotechnik - 10.10.2024
’Der wilde Roboter’ im Science-Check
Veranstaltung - Physik - 02.10.2024

Mikrotechnik - 20.09.2024

Sechseckige elektrohydraulische Module agieren wie künstliche Muskeln, aus denen sich Roboter mit diversen Funktionen konfigurieren lassen Neu entwickelte, sechseckige Roboterbauteile lassen sich in Baustein-Manier ganz einfach zu Hochgeschwindigkeitsrobotern zusammenbauen.
Geschichte & Archeologie - Veranstaltung - 12.09.2024

Informatik - Mathematik - 10.09.2024

Biowissenschaften - Sozialwissenschaften - 03.09.2024

Forschende geben ausgewachsenen Zebrafinken ihre Fähigkeit zurück, neue Gesänge zu lernen Motorisches Lernen, beispielsweise das Spielen eines Instruments, präzise Bewegungen beim Sport oder auch die korrekte Betonung einer neuen Sprache, fällt in jungen Jahren besonders leicht. Die Forschungsgruppe von Daniela Vallentin am Max-Planck-Institut für biologische Intelligenz konnte an Zebrafinken zeigen, dass sich die Lernfähigkeit in der Jugend im Alter reaktivieren lassen könnte.
Biowissenschaften - Chemie - 21.08.2024

Forschende können erstmals die Arbeit der Faltungshelfer-Moleküle in ihrer natürlichen Umgebung sichtbar machen Mithilfe der Kryo-Elektronentomografie, kurz Kryo-ET, können zelluläre Strukturen in ihrer natürlichen Umgebung sichtbar gemacht und analysiert werden. Forschende vom Max-Planck-Institut für Biochemie in Martinsried bei München und der Universitätsmedizin in Göttingen haben mit dieser Technik Proteinfaltungshelfer, sogenannte Chaperonin-Komplexe, im Bakterium Escherichia coli untersucht.
Physik - 14.08.2024

Wirtschaft - 12.07.2024
Intransparente Datenschutzhinweise
Datenschutzhinweise schaffen wenig Klarheit darüber, wie erhobene Daten weiter verwendet werden Die Europäische Union und das Vereinigte Königreich schreiben in der Datenschutz-Grundverordnung (DSGVO
Physik - Wirtschaft - 03.07.2024

Im Dezember 2022 hat die National Ignition Facility in den USA einen Durchbruch in der Fusionsforschung verkündet.
Biowissenschaften - Gesundheit - 27.06.2024
Erin Schuman erhält den Körber-Preis
Biowissenschaften - Gesundheit - 17.06.2024

Biowissenschaften - Campus - 13.06.2024

Prokrastination, das willentliche und schädliche Aufschieben von Aufgaben, kennt viele Formen. Mithilfe einer mathematischen Theorie klassifiziert Sahiti Chebolu vom Max-Planck-Institut für biologische Kybernetik ihre verschiedenen Arten und untersucht die dahinterstehenden Ursachen.











