Warum ein Diabetesmedikament bei Parkinson helfen könnte

Zellen im Elektronenmikroskop. Ein Mitochondrium einer Zelle wurde nachträglich
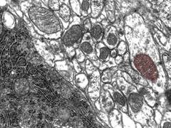
Zellen im Elektronenmikroskop. Ein Mitochondrium einer Zelle wurde nachträglich am Rechner rot eingefärbt. Copyright: Hartwig Wolburg / Universität Tübingen
Tübinger Forscherinnen und Forscher klären an Zellkulturen, dass der Arzneistoff den Energiehaushalt in geschädigten Körperzellen reguliert. Bei bestimmten Parkinsonformen könnte ein Diabetesmedikament helfen, berichten Tübinger Hirnforscher um Dr. Julia Fitzgerald am Hertie-Institut für klinische Hirnforschung, der Universität Tübingen und dem Deutschen Zentrum für Neurodegenerative Erkrankungen in Tübingen in der aktuellen Ausgabe der Fachzeitschrift Brain . Die Neurowissenschaftler identifizierten ein Eiweiß, das eine wichtige Rolle im Energiehaushalt von Zellen spielt. Fehlt dieses Protein, ist der Energiehaushalt nachhaltig gestört. Dies kann zum Zelltod und letztendlich zum Ausbruch der Parkinson-Krankheit führen. Bei der Erkrankung sterben Nervenzellen in einem Gehirnbereich ab, der Bewegungen kontrolliert. Anhand von Zellkulturen zeigten die Forscher, dass das Diabetesmedikament Metformin in den Energiehaushalt eingreift und so die Zellen schützt.
account creation

UM DIESEN ARTIKEL ZU LESEN, ERSTELLEN SIE IHR KONTO

Und verlängern Sie Ihre Lektüre, kostenlos und unverbindlich.



Ihre Vorteile

  • Zugang zu allen Inhalten
  • Erhalten Sie Newsmails für Neuigkeiten und Jobs
  • Anzeigen veröffentlichen

myScience