Leukämie: Künstliche Intelligenz unterstützt bei der Diagnostik

- EN- DE
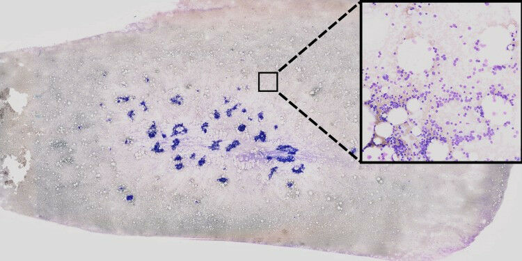
KI-basierte Verarbeitung von Knochenmarkausstrichen zur Unterstützung der Blutkr
KI-basierte Verarbeitung von Knochenmarkausstrichen zur Unterstützung der Blutkrebsdiagnostik. Aus extrem hochaufgelösten Bilddaten (links) werden mittels sogenannter unüberwachter Lernverfahren Einzelzellbilder (Mitte) extrahiert. Anschließend werden diese Zellbilder unter Verwendung von neuronalen Netzen auf visuelle Auffälligkeiten, welche einen genetischen Ursprung haben könnten, untersucht. Bereiche, die für die Entscheidung des neuronalen Netzwerkes sehr wichtig sind, wurden mit Hilfe einer Methode für sogenannte Explainable AI farblich hervorgehoben (rechts). © AG Risse
Informatiker und Mediziner entwickeln neues Verfahren zur Erkennung genetischer Veränderungen. KI-basierte Verarbeitung von Knochenmarkausstrichen zur Unterstützung der Blutkrebsdiagnostik. Aus extrem hochaufgelösten Bilddaten ( links ) werden mittels sogenannter unüberwachter Lernverfahren Einzelzellbilder ( Mitte ) extrahiert. Anschließend werden diese Zellbilder unter Verwendung von neuronalen Netzen auf visuelle Auffälligkeiten, welche einen genetischen Ursprung haben könnten, untersucht. Bereiche, die für die Entscheidung des neuronalen Netzwerkes sehr wichtig sind, wurden mit Hilfe einer Methode für sogenannte Explainable AI farblich hervorgehoben ( rechts ). AG Risse Therapeutische Entscheidungen bei Patienten mit Akuter Myeloischer Leukämie (AML) - einer sehr aggressiven Form des Blutkrebses - basieren unter anderem auf einer Reihe bestimmter genetischer Merkmale der Erkrankung. Zum Zeitpunkt der Diagnose liegen diese Informationen jedoch nicht vor.
account creation

UM DIESEN ARTIKEL ZU LESEN, ERSTELLEN SIE IHR KONTO

Und verlängern Sie Ihre Lektüre, kostenlos und unverbindlich.



Ihre Vorteile

  • Zugang zu allen Inhalten
  • Erhalten Sie Newsmails für Neuigkeiten und Jobs
  • Anzeigen veröffentlichen

myScience