Essen in Sicht

- EN- DE
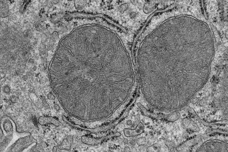
Elektronenmikroskopische Aufnahme der Mitochondrien in Leberzellen. Die Mitochon
Elektronenmikroskopische Aufnahme der Mitochondrien in Leberzellen. Die Mitochondrien verändern ihre Form, sobald Nahrung wahrgenommen wird. © MPI f. Stoffwechselforschung/ S. Henschke

Was passiert im Körper, wenn wir hungrig sind und Essen sehen und riechen? Ein Forschungsteam des Max-Planck-Instituts für Stoffwechselforschung in Köln konnte jetzt an Mäusen zeigen, dass bereits nach wenigen Minuten Anpassungen in Mitochondrien in der Leber stattfinden. Angeregt durch die Aktivierung einer Gruppe von Nervenzellen im Gehirn, verändern sich die Mitochondrien der Leberzellen und bereiten die Leber auf die Anpassung des Zuckerstoffwechsels vor. Die Ergebnisse könnten neue Wege für die Behandlung der Volkskrankheit Typ-2-Diabetes eröffnen.

Wenn hungrige Mäuse Futter angeboten bekommen, dieses aber nicht essen, sondern nur sehen und riechen können, werden nach nur wenigen Minuten in den Mitochondrien der Leber Prozesse aktiviert werden, die normalerweise durch die Nahrungsaufnahme angeregt werden. Den Untersuchungen der Kölner Forschenden zufolge reicht dies aus, um die Mitochondrien in den Leberzellen zu verändern. Dies wird durch eine bisher nicht charakterisierte Phosphorylierung in einem Protein der Mitochondrien vermittelt. Die Phosphorylierung ist eine wichtige Modifikation für die Regulation der Proteinaktivität.

Die Forschenden haben außerdem entdeckt, dass sich diese Phosphorylierung auch auf die Sensitivität der Leber für Insulin auswirkt. Damit haben sie einen neuen Signalweg entdeckt, der die Insulinsensitivität im Körper reguliert.

Nervenzellen im Hypothalamus

Die Wirkung auf die Leber vermittelt eine Gruppe von Nervenzellen, die so genannten POMC-Neuronen. Diese Neuronen werden durch den Geruch und Anblick von Nahrung innerhalb von Sekunden aktiviert und signalisieren der Leber, sich auf die ankommenden Nährstoffe vorzubereiten. Die Forschenden konnten auch zeigen, dass allein die Aktivierung der POMC-Neuronen ausreicht, um Mitochondrien in der Leber anzupassen, selbst wenn keine Nahrung da ist. ,,Wenn unsere Sinne Essen wahrnehmen, bereitet sich unser Körper mit einer Produktion an Speichel und Magensäure auf die Essenaufnahme vor. Aus früheren Untersuchungen wussten wir, dass sich auch die Leber auf die Nahrungsaufnahme vorbereitet. Jetzt haben wir uns die Mitochondrien in den Leberzellen genauer angesehen, weil sie essentielle Zellorganellen für den Stoffwechsel und die Energieproduktion sind und festgestellt, wie Überraschend schnell diese Adaption abläuft", erklärt Sinika Henschke, Erstautorin der Studie.

Jens Brüning, Leiter der Studie und Direktor am Max-Planck-Institut für Stoffwechselforschung: "Unsere Studie zeigt, wie eng die sensorische Wahrnehmung von Essen, adaptive Prozesse in Mitochondrien und die Insulinsensitivität verknüpft sind. Das Verständnis dieser Mechanismen ist auch daher wichtig, da bei dem Diabetes mellitus Typ 2 die Insulinempfindlichkeit gestört ist."

Sinika Henschke, Hendrik Nolte, Judith Magoley, Tatjana Kleele, Claus Brandt, Christine Hausen, Claudia M. Wunderlich, Corinna A. Bauder, Philipp Aschauer, Suliana Manley, Thomas Langer, F. Thomas Wunderlich, Jens C. Brüning