
Ein wichtiger Schritt in der Hirnforschung ist Forschenden des Carl-Ludwig-Instituts für Physiologie der Universität Leipzig in Kooperation mit der Johns Hopkins University (USA) gelungen: Die sogenannte zap-and-freeze-Technik, mit der sich Übertragungen an Nervenzellen schnell sichtbar machen lassen, konnte erstmals erfolgreich an akuten Hirnschnitten von Maus und Mensch angewendet werden. Künftig kann dadurch untersucht werden, wie Nervenzellen ihre Signalübertragung anpassen, wenn sie aktiv sind - also wie sich die Freisetzung von Botenstoffen und die Anpassungsfähigkeit der Nervenzellen beim Lernen verändern. Die Ergebnisse sind aktuell im Fachjournal Neuron publiziert worden.
Mit der zap-and-freeze-Technik werden Nervenzellen elektrisch stimuliert und wenige Millisekunden später schockgefroren. Dank dieser Methode können Bewegungen von Zellbestandteilen für die Beobachtung unter dem Elektronenmikroskop festgehalten werden. Ein internationales Forschungsteam mit federführender Beteiligung des Carl-Ludwig-Instituts für Physiologie der Universität Leipzig hat in einer aktuellen Studie gezeigt, dass diese neue Technik auch bei intaktem Hirngewebe von sowohl Mäusen als auch Menschen funktioniert.
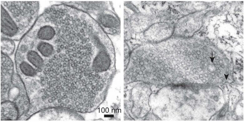
Die Wissenschaftler:innen untersuchten zunächst Gehirnproben von Mäusen. Mit der zap-and-freeze-Methode regten sie Nervenzellen an und beobachteten, wie kleine Bläschen, sogenannte Vesikel, die Botenstoffe freisetzen, anschließend für die neuronale Kommunikation wiederverwertet werden. In gesunden Gehirnen helfen synaptische Vesikel dabei, Informationen von Zelle zu Zelle weiterzuleiten - ein Prozess, der für die Informationsverarbeitung, das Lernen und die Gedächtnisbildung entscheidend ist.
Dann wendeten die Forscher:innen dieselbe Methode auf Gehirngewebe von Menschen an und stellten fest, dass der Prozess dort gleich abläuft. In beiden Fällen fanden sie das Protein Dynamin1xA an den Stellen, an denen die Vesikel recycelt werden. Das zeigt, dass dieser Mechanismus bei Mäusen und Menschen im Wesentlichen gleich funktioniert. ,,Damit konnten wir erstmals direkt verfolgen, wie sich nach der Freisetzung von Nervenbotenstoffen die Zellmembran im menschlichen Gehirn schnell wieder erneuert. Mit dieser Methode können wir die Gehirnzellen quasi beim Lernen beobachten. Das bestätigt die hohe Relevanz von Modellorganismen für die neurowissenschaftliche Grundlagenforschung", sagt Forscherin Dr. Kristina Lippmann vom Carl-Ludwig-Institut der Universität Leipzig, Korrespondenzautorin der Studie.
Für die aktuelle wissenschaftliche Arbeit war die Expertise in der 2-Photonenmikroskopie und der Elektrophysiologie am Carl-Ludwig-Institut von großer Bedeutung. Dabei wurde die zap-and-freeze-Methode für Hirnschnitte in Leipzig modifiziert. Unter anderem haben Dr. Lippmann und ihr Team herausgefunden, dass die Technik ideal ist, um Nervenfasern gezielt zu stimulieren, die entlang des elektrischen Feldes liegen, wie etwa die Parallelfasern im Kleinhirn. Die Wissenschaftler:innen wiesen außerdem nach, dass sich auf diese Weise präsynaptische Kurzzeitplastizität auslösen lässt - ein zentraler Mechanismus für Lernprozesse im Gehirn.
Zukünftig sollen mithilfe der zap-and-freeze-Technik die Mechanismen der präsynaptischen Kurzzeitplastizität in der Kleinhirnrinde genauer erforscht werden. Diese spielt eine wesentliche Rolle bei der motorischen Kontrolle und bietet Einblicke in die Funktionsweise des lernenden Gehirns - von der Entwicklung bis hin zu altersbedingten und krankhaften Veränderungen.
Die aktuelle Studie knüpft an eine Veröffentlichung in Nature Neuroscience an, in der die zap-and-freeze-Methode erstmals an kultivierten Nervenzellen erprobt wurde. Die Kooperation zwischen der Universität Leipzig und der renommierten Johns Hopkins University entstand während eines Forschungsaufenthaltes von Kristina Lippmann in den USA, bei der die Wissenschaftlerin Prof. Shigeki Watanabe kennenlernte, der die zap-and-freeze-Methode mit entwickelt hat.
Originalpublikation in Neuron: Ultrastructural membrane dynamics of mouse and human cortical synapses. https://doi.org/10.1016/j.neuron.2025.10.030



